Trend

Akciğer sönmesi nedir? Nasıl tedavi edilir?

Vücudumuzdaki bütün organlara solunum yapan ve hayati değer taşıyan akciğer ve hastalıkları da çok önemli ve tedavi önceliği taşıyan bir durumdur. Son zamanlarda sık sık duyduğumuz ''''Akciğer sönmesi '''' de bu durumlardan biridir. Bu hastalığı sizin için araştırdık ve sonuçlarına ulaştık. Akciğer sönmesi nedir? Nasıl tedavi edilir? Ne yaparsak Akciğer sönmesi olur? Herkesin merak ettiği soruların cevabı haberimizde

Vücudumuzdaki bütün organlara solunum yapan ve hayati değer taşıyan akciğer ve hastalıkları da çok önemli ve tedavi önceliği taşıyan bir durumdur. Son zamanlarda sık sık duyduğumuz ''Akciğer sönmesi '' de bu durumlardan biridir. Bu hastalığı sizin için araştırdık ve sonuçlarına ulaştık. Akciğer sönmesi nedir? Nasıl tedavi edilir? Ne yaparsak Akciğer sönmesi olur? Herkesin merak ettiği soruların cevabı haberimizde

KİMLER RİSK ALTINDA?

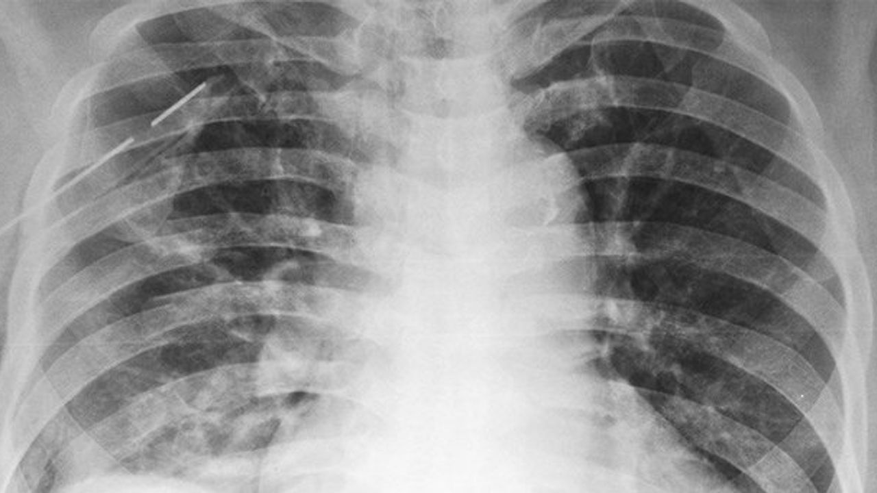
Ani gelen şiddetli göğüs ağrısı ve nefes darlığı ciddi Pnömotoraks'ın en belirgin belirtileridir. Genelde yavaş ve hafif klinik belirti vermesine rağmen ani ve şiddetli gelen göğüs ağrısı-nefes darlığı ile belirti vereren bu hatalıkta ğöğüs ağrısı o kadar şiddetlidir ki, genellikle kalp krizi ile karıştırılır.

Öte yandan pnömotoraks KOAH'lı hastalarda da sık görülen bir rahatsızlıktır. Bu hastalarda öncelikli şikayet nefes darlığıdır. Dolayısı ile KOAH'lı bir hastanın da göğüs ağrısı ve nefes darlığı durumunda KOAH atağı olarak geçiştirilmeden Pnömotoraks ihtimaline karşı da mutlaka tetkik edilmesi gerekir.

Primer spontan pnömotoraks sigara içen, uzun boylu, zayıf ve hafif kambur, genç yetişkin erkeklerde daha sık görülen rahatsızlıktır ayrıca pilot ve dalgıç gibi meslek gruplarını da hedef alıyor. Araştırmalar 100 binde 5-10 kişide görüldüğünü söylüyor. Erkeklerde kadınlardan 6 kat daha sık görülür.

Ülkemizde yılda 13 bin civarında Pnömotoraks vakası saptanmaktadır. Bunların 10 bine yakını yatırılarak tedavi edilmektedir. Hastaların yüzde 40'a yakını 15-45 yaş grubunda ve 3'te biri erkektir. Nadir de olsa büllöz doku kansere dönüşebilme ihtimali var. Akciğerdeki hasarın çok büyük olmasına bağlı hava kaçağının fazla olduğu durumlarda ölümcül sonuçlar doğurabiliyor.

NASIL TEDAVİ EDİLİR?

Pnömotoraks tedavilerinde 4 temel ilke vardır. Akciğerin genişlemesinin sağlanması, şikayetlerin ortadan kaldırılması, komplikasyonların önlenmesi ve nükslerin önlenmesi şeklinde. Bunlardan ilki oksijen desteğidir, hava miktarı az olan kişilere uygulanır ve hasta gözlemlenir. Bir diğeri iğne aspirasyonudur.

Tüm bunlara rağmen; genişlemeyen akciğer dokusu varlığında, her iki akciğerde de sönmenin olduğu durumlarda, göğüs kafesi içinde kan birikmesi durumunda, takılmış olan göğüs dreninden devam eden hava kaçağının fazla olması durumunda ayrıca sosyal endikasyonları olan pilot, dalgıç, gemici gibi meslek grupları ile sağlık merkezine uzakta oturan hastalarda cerrahi önerilmektedir. Cerrahide kapalı (videotorakoskopik -robotik) yöntemler kullanılıyor. Bunlar göğüs cerrahlarının en sık yaptığı ameliyatlardandır.

Pnömotoraks alanı yüzde 15'ten büyükse hava kesilene kadar iğne ile boşaltılır. Eğer akciğerden kaçan hava fazla miktarda ise dren takılarak havanın boşaltılması sağlanır. Orta ve büyük derecede Pnömotorakslarda karşı akciğer ve kalbe baskı yapacak durumda olanlarda Tüp Torakostomi denilen yöntem kullanılmaktadır.

AKCİĞER VE AKCİĞER HASTALIKLARI

Akciğer kanseri tanı ve tedavisi
Allerjik akciğer hastalıklarının tanı ve tedavisi
Obstrüktif akciğer hastalıkları (astım, KOAH, bronşektazi) tanı ve tedavisi
Kronik öksürükler
Pnömoni (zatürre)
Plörezi (akciğer zarında sıvı birikmesi)
Sarkoidoz (Tüm doku ve organları tutabilen ve nedeni tam olarak bilinmeyen, sistemik bir hastalıktır)
Pnomotoraks (akciğerin sönmesi)
Pulmoner Emboli (akciğer embolisi)
Sigara bağımlılığı, sigaraya bağlı hastalıklar ve sigara bırakma yöntemler
Solunum fizyoterapisi
Solunum fizyoloji laboratuvarı biriminde solunum fonksiyon testleri
Bronkoskopi ünitesi
Uyku laboratuarı

Solunum sistemini tutan herhangi bir hastalık akciğer fonksiyonlarını bozarak, hırıltılı solunum, horlama, öksürük, balgam, ağızdan öksürükle kan gelmesi, göğüs ve yan ağrısı, sırt ve omuz ağrısı, kilo kaybı, halsizlik, iştahsızlık, gece terlemesi ve ateş gibi şikayetlere sebep olabilmektedir.

Sigara toplum sağlığını tehdit eden önlenebilir nedenlerin başında gelmektedir. Akciğer üzerine direkt etkileriyle hem havayolu hastalıklarına (kronik bronşit, amfizem gibi kronik tıkayıcı akciğer hastalıkları) hem de kanserden ölümlerde birinci sırada yer alan akciğer kanserine neden olmaktadır. Ayrıca özellikle çocuklarda sigara dumanına maruziyet hem alt solunum yolu enfeksiyonları (zatürre, bronşit) hem de astım gelişimine neden olabilmektedir.

Solunum fonksiyon testleri akciğer fonksiyon testleri olarak da bilinir. Solunum fonksiyonlarının ölçülebildiği bilgisayarlı solunum cihazları ile yapılan ölçümler; akciğerlerde fonksiyonel bir bozukluğun olup olmadığını tespit edilmesini sağlar ve var ise derecesinin saptanması, hastalığın takibi ve tedavi yanıtının değerlendirilmesinde önemli rol oynar.

Akciğer Nedir?

Akciğerler göğüs boşluğunda yüreğin sağ ve solunda az çok piramit şeklinde olan solunum organlarıdır. Taban kısımları diyaframın üzerine oturmuştur. Göğüs çeperine bakan yüzeyleri dış bükey, yüreğe bakan iç yüzeyleri ise iç bükeydir. Akciğerlerin dış yüzeyi düzgün ve parlak olup bu parlaklık akciğerleri örten palevranın visceral yaprağındandır. Rengi, yeni doğmuş çocuklarda esmer-kırmızı, gençlerde pembe, ergin ve yaşlılarda ise pembe-mavimtıraktır.İnsan yaşlandıkça akciğerlerin yüzeyinde bir takım pigmentler belirir. Bunlar solunum sırasında akciğerlere kadar giren yabancı cisimleri meydana getirdikleri oluşuklardır.

Akciğerlerin Yapısı ve Hacimleri

Akciğerlerin ortalama olarak yükseklikleri,omurga tarafındaki kenarlarında 25cm olup önden arkaya olan kalınlıkları tabanda 16cm ,genişlikleri ise yine tabanda sağ akciğerlerin 10cm,sol akciğerlerin 7cm dir.Yüreğin sol akciğer üzerine yaptığı basınçtan dolayı bu akciğer küçük kalmıştır.Sağ akciğer,sol akciğerden 1/5 veya 1/6 kadar büyüktür .Ayrıca sağ akciğer karaciğerin sağ lopunun yaptığı kabarıklıktan dolayı sol akciğere nazaran biraz yukarıdadır.Yine bu akciğer üzerindeki iki yarıkla üç lopa ayrılmıştır.Sol akciğer ise bir tek yarıkla iki lopa ayrılmıştır.Akciğerlerin hacmi yaşa, şahsa ve cinse göre değişir .Ağırlıkları yetişkin bir erkekte 1300gr olup bunun 700gr mı sağ ,600gr mı sol akciğere aittir .Kadınlarda ise sağ akciğer 550gr,sol akciğer 450gr kadardır.İçerisinde hava bulunan akciğerler daha hafiftir.Yeni doğmuş ölü bir çocuğun akciğerlerinin nefes almamış olduğu suya atılarak anlaşılır.

Eğer nefes almış ise suyun yüzeyinde kalır .Almamış ise suyun dibine çöker.Akciğerler yumuşak olduğundan parmakla basılınca çökertilebilir.Üzerlerinde fazla basınç yapılırsa alveol keseciklerinin yırtılmasından dolayı bir çıtırtı duyulur.Bu taktirde hava kabarcıkları plevranın akciğerleri örten yaprağı altına gözle görülebilir. Akciğerler kolay yırtılmazlar.Bu nedenle,alveolleri dolduran havanın basıncına mukavemet ederler. Akciğerlerin Yapısıkciğerleri dıştan seroz yapıda olan çift katlı plevra zarı örter.Her akciğerin ayrı bir plevrası vardır. Plevranın dış katı göğüs çeperine yapışmıştır.Bu kat parictal yapıda olduğundan parictal plevra adını alır. Plevranın diğer katı akciğerlerin yüzeyini örter. Buna da visceral veya pulmonal plevra denir. Bu iki yaprak ayrı olmayıp akciğerleri hilus kısmında birbirleriyle birleşirler. Ayrıca bu iki yaprak iç içe olduğundan birbirleriyle sıkı temas halinde olup aralarında plevra boşluğu bulunur. Her akciğerin ayrı bir plevrası olduğundan aynı şekilde her bir akciğerin etrafında ayrı bir plevra boşluğu bulunur. Bu boşlukta akciğerlerin hareketini kolaylaştıran bir sıvı vardır. Plevranın göğüs boşluğunu örten parictal yaprağı ,üzerini örttüğü bölgelere göre isim alır.İnce ve saydam olan visceral yaprak ise akciğerlere sıkıca yapışmıştır.Hatta bu yaprak lopcuklar arasındaki hücresel doku ile de irtibattadır.

Visceral plevranın serbest olan dış yüzeyi parietal ile temas halinde olup parlak ,düzgün ve kaypaktır.Akciğerlerin her bir lopu altıgen piramit şeklinde 1cm3 hacminde küçük lopcuklara ayrılmıştır.Lopcukların bazıları akciğerin yüzeyinde,bazıları ise derinliğindedir.Yüzeyde olanlar piramit şeklinde olup tabanları akciğerlerin yüzeyinde çok köşeli olarak görülür.Tepeleri ise hilusa doğrudur.Derinde olan lopcukların şekilleri değişiktir.Her bir lopcuk küçük ve başlı başına bir akciğerciktir.Lopcukların,üzüm salkımına benzeyen hava keselerine(acinus) ayrılmışlardır.Hava keseleri de ampül şeklinde keseciklere ayrılmıştır.Bütün lopcuklar birbiri üzerine düzensiz bir şekilde yığılmışlardır.Yalnız bunları birbirinden ayıran esnek bir katılgan doku mevcuttur.Yani,her lopcuk kan damarları ve bronşların kolları ile sinirlerden yapılı katılgan bir doku ile çevrilidir.Lopcukların içerisine giren bronş kolları 50-60kadar küçük kollara ayrılır.Çapları 1/10mmolan bu kollara bronşcuk adı verilir.

Bronşcukların yapısında da bronşlarda olduğu gibi iki tabaka bulunur.Bunlardan biri, yine kıkırdak ,kas ve zardan yapılı olan iç tabakadır.Dış tabakada bulunan ve tam olmayan kıkırdakcıkların arsında fibroz bir lam vardır.Bronşcuklardaki kıkırdaklar plaklar,halinde ve gelişi güzel durumdadırlar.Bu kıkırdak plaklar,bronşcukların çapları küçüldükçe seyrekleşir,ve 1mm çapındaki bronşcuklara gelince kıkırdaklar tamamen kaybolurlar ,nihayet ,sadece fibroz bir yapıda olan zar tabakası kalır.Bunun yapısında da kas lifleri bulunur.

Mukoza dan ibaret olan iç tabaka bronşcuklar küçüldükçe incelerek alveoller de tek bir epitalyum tabakasına kadar indirger.Bronşcuklar muntazam olmayan boşluklara açılırlar.Bu boşluklardan,3mm uzunluğunda 40 mikron genişliğinde birçok kanallar çıkar.Bu kanalların çeperleri girintili çıkıntılıdır.Burada hem birbirine hem de kanal boşluğuna açılan bir takım keseciklerin çapları 0,2-0,3mm,sayıları da 750 milyon kadardır.Alveollerin çeperleri yalın kat epitelden yapılmıştır.Etraflarında gaz alışverişini sağlayan kılcal damarlar bulunur.Alveollerin toplam yüzeyi 48m2 dir.İçerleri hava ile doludur.Kılcal damarların bu kesecikler etrafındaki toplam yüzeyi ise 150m2 kadardır.Akciğerlerin özgül ağırlığı da 0,5gr/cm3 dür.

Akciğerlerin Görevleri Nelerdir?

Asıl görevi oksijeni kana vermek ve karbondioksitti kandan atmaktır. Ayrıca kan akciğerlerde soğuduğu için vücut sıcaklığını ayarlamaya da yardımcı olur. Ciğerler vücuda nefesle giren havadan oksijen çıkarırlar ve kan dolaşımı ile ciğerlere giren karbondioksiti serbest bırakırlar. İnsan nefesi dışarı verirken karbon dioksit ve bir miktar su, buhar halinde vücuttan çıkar.