Her yaştan ve cinsten insanı etkileyebilen ama genellikle yetişkinlerde daha sık görülen Sedef hastalığı ve çeşitleri merak edilenler arasında oldu. Sedef hastalığının çeşitleri nelerdir?
SEDEF HASTALIĞININ ÇEŞİTLERİ
Beş çeşit sedef hastalığı vardır:
Plak sedef hastalığı
Plak sedef hastalığı en yaygın psoriasis tipidir. Sedef hastalarının yaklaşık yüzde 80'inde plak sedef hastalığı görülür. Derinin belli bölümlerini kaplayan kırmızı, iltihaplı yamalara neden olur. Bu yamalar genellikle beyazımsı gümüş pullar veya plaklarla kaplıdır. Bu plaklar genellikle dirseklerde, dizlerde ve kafa derisinde bulunur.
Guttat sedef hastalığı
Guttat sedef hastalığı çocuklukta yaygındır. Bu tip sedef hastalığı küçük pembe yamalara neden olur. Glutat psoriasis için en yaygın yerler gövde, kollar ve bacaklardır. Bu yamalar nadiren kalın veya plak sedef hastalığı gibi büyümüştür.
Püstüler sedef hastalığı
Püstüler psoriasis erişkinlerde daha yaygındır. Beyaz, irin dolu kabarcıklar ve geniş kırmızı, iltihaplı bölgelere neden olur. Püstüler sedef hastalığı, genellikle eller veya ayaklar gibi vücudun daha küçük bölgelerine yerleşir, ancak yaygın olabilir.
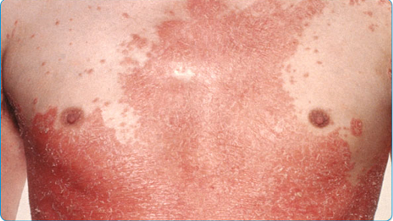
Ters sedef hastalığı
Ters psoriazis kırmızı, parlak, iltihaplı yamalara neden olur. Ters sedef hastalığında yamalar, kasıklarda, göğüslerde, koltuk altlarında ve genital bölgelerde görülür.
Eritrodermik sedef hastalığı
Eritrodermik sedef hastalığı şiddetli ve çok nadir görülen bir sedef hastalığıdır. Bu form genellikle vücudun büyük bölümlerini bir kerede kapsar. Cilt neredeyse güneşte yanmış gibidir. Bu tip psoriazisli bir kişinin ateşinin yükselmesi ya da başka bir hastalığa yakalanması çok kolaydır. Bu tip sedef hastalığı yaşamı tehdit edici olabilir, bu yüzden bireyler hemen bir doktora görünmelidir.
SEDEF HASTALIĞININ BELİRTİLERİ
Semptomlar neler?
Sedef hastalığı belirtileri kişiden kişiye değişir ve sedef hastalığının türüne bağlıdır. Sedef bölgeleri, kafa derisi veya dirseklerde birkaç pul kadar küçük olabilir veya vücudun çoğunluğunu kaplayabilir.
Plak sedef hastalığının en sık görülen belirtileri şunlardır:
– Kırmızı, kabarık, iltihaplı yamalar
– Kırmızı yamalar üzerinde beyazımsı-gümüş pullar veya plaklar
– Çatlak ve kanayabilen kuru bir cilt
– Yamalar etrafında ağrı
– Yamalar etrafında kaşıntı ve yanma hissi
– Eklemlerde ağrı ve şiş
Bu belirtiler; her hastada aynı anda görülmez. Özellikle sedef hastalığının nadir görülen çeşitlerinde hastalar; tamamen farklı belirtilerle de karşılaşabilir. Sedef hastalığı olan çoğu insan farklı belirtileri olan döngülerden geçer. Aynı hasta belirli bir süre sonra daha da kötüleşmiş ve ilerlemiş belirtiler ile karşılaşabilir. Bazen, sedef hastalığı belirtileri tamamen kaybolabilir.





