Kişinin en basit işleri dahi yapamamasına neden olan Beyincik dejenerasyonu ciddi bir rahatsızlıktır. Peki Beyincik dejenerasyonu nedir? Nasıl geçer? Tedavi yöntemleri nelerdir? Omurilik soğanında meydana gelen beyincik dejenerasyonu, omurilk faaliyetlerine bağlı tüm işlevlerin zaman içerisinde kaybolmasına neden olmaktadır. Böyle bir durumunda mutlaka bir hekime gidilmelidir. İşte Beyincik dejenerasyonu hakkında bilinmesi gerekenler...
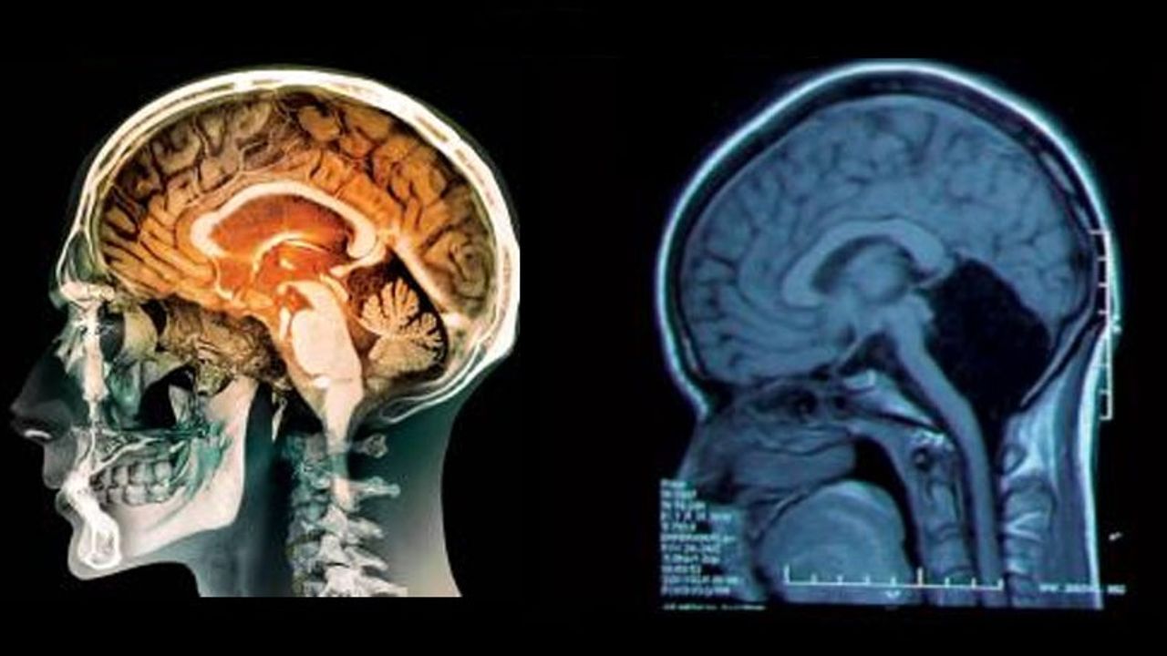
Omurilik soğanı nedir?
Omurilik soğanı beynin son kısmıdır. Omurilik soğanının dış görünüşü taze soğana benzemektedir. Beyin ile sinir sistemi arasında sinirsel iletimi sağlar. Omurilik soğanı, özellikle dolaşım ve solunumu kontrol etmesiyle,hayat düğümü olarak adlandırılır.Omurilik soğanı çıkarılan bir insan ölür.
Beyincik dejenerasyonu nedir?
Beyincik dejenerasyonu omurilik soğanında meydana geldiğinden tıpta herhangi bir tedavisi bulunmamaktadır. Dejeneresyon tıp dilinde organların bozulması, işlevini yitirmesi anlamına gelmektedir. Dejenerasyon yaşanması beyinde herhangi bir iyileşme söz konusu olamaz. Omurilik soğanın da meydana gelen dejenerasyon tüm bu işlevlerin zamanla kaybedilmesine ve hastanın durumunun hergün daha kötüye gitmesine neden olmaktadır.
Omurilik dejenerasyonu nasıl belirtilerle ortaya çıkar?
Omurilik dejenerasyonu aşağıda vermiş olduğumuz belirtilerle kendini göstermektedir.
- Dokunma ve acı duyularının git gide hissedilmemeye başlaması
- Karaciğerde hasar ve hastalıklar meydana gelmesi
- Vücutta denge probleminin ortaya çıkması, sürekli olarak tekrarlayan düşme problemleri
- Görme, duyma ve konuşma duyularının git gide azalması
- Kalp kaslarının zayıflamaya başlamasından dolayı, kalp hastalıklarının meydana gelmesi
- Vücutta ortaya çıkan titremeler ve bunların zamanla artması
Beyincik dejenerayonunun tedavisi var mı?
Beyincik dejenerayonunun tıp dünyasında henüz bir tedavi yöntemi bulunmamaktadır.





